Çoğu zaman basit bir diş eti iltihabı sanıp önemsemediğimiz şiddetli diş eti büyümesi, kanayan diş etleri ve dişlerin sallanması aslında ciddi bir hastalığın ilk sinyali olabilir. Uzman Diş Hekimi ve Ağız Diş Çene Cerrahı Prof. Dr. Birkan Taha Özkan, yeni bir araştırmanın çarpıcı sonuçlarına dikkat çekerek, şiddetli diş eti hiperplazisinin (diş eti şişmesi) bazen akut miyeloid löseminin (AML) erken habercisi olabileceğini vurguladı.
Diş eti şişmesi lösemik hücrelerin istilasının işareti olabilir!
Yetişkinlerde en sık görülen akut lösemi türü olan Akut Miyeloid Lösemi (AML), kemik iliğinde anormal çoğalan beyaz kan hücrelerinin (lösemik hücreler) kemik iliğini istila etmesiyle normal kan hücresi üretimini durdurur.

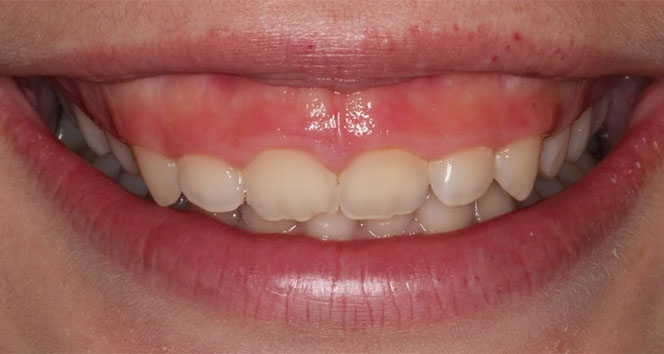
Prof. Dr. Özkan, AML'nin ağız içi belirtileri arasında özellikle diş eti dokusunda belirgin büyüme (hiperplazi) ve aşırı diş eti kanamasının bulunduğunu belirtiyor.
Diş eti büyümesi sadece kötü hijyenden kaynaklanmıyor!
Bilimsel araştırmalar ışığında, diş eti büyümesi şikayetiyle başvuran 16.364 hasta üzerinde yapılan bir taramada 117 kişide ciddi diş eti büyümesi saptandığını aktaran Prof. Dr. Özkan, daha çarpıcı bir sonuçla bu hastaların yüzde 1,7'sinde doğrudan AML tanısı konduğunu ifade etti. Bu durum, diş etlerindeki anormal büyümenin sadece iltihap veya kötü ağız hijyeninin sonucu olmadığını, bazen kan hücresi kanserinin ilk sessiz alarmı olabileceğini gösteriyor.
Prof. Dr. Özkan'dan hayati uyarılar:

Prof. Dr. Birkan Özkan bu önemli konuda şu uyarılarda bulundu: "Diş eti büyümesi sadece diş taşı veya diş eti iltihabı kaynaklı değildir. Bazı vakalarda, lösemik hücrelerin doğrudan diş etine yerleşmesiyle oluşan bir reaksiyondur. Bu durum, diş etlerinde şişmeye, aşırı kanamaya ve hatta dişlerin yerinden oynamasına sebep olabilir. Erken teşhis edilmediğinde ise hayatı tehdit eden sonuçlara yol açabilir."
Çene kemiği erimesi ve diş kaybına dikkat!
Dişlerin sallanmasının sadece diş kaybı anlamına gelmediğini belirten Prof. Dr. Özkan, diş etindeki lösemik infiltrasyonun zamanla çene kemiğine kadar ilerleyerek çene kemiğinin yapısını da çökertebileceğini söyledi. Prof. Dr. Özkan, bu hastalarda gözlemlenen kritik belirtileri şöyle sıraladı:
Diş etlerinde kırmızı-mor renkli, halka şeklinde şişlikler
En ufak dokunuşta bile durmayan diş eti kanamaları
İnatçı, hiç geçmeyen kötü ağız kokusu
Dişlerde sallanma ve çene kemiğinde hızlı erime
Ağız içinde tekrarlayan enfeksiyonlar ve iyileşmeyen yaralar
Bağışıklık sisteminin lösemi nedeniyle zayıfladığı durumlarda, ağız içi enfeksiyonların tüm vücuda yayılarak ölümcül sepsis (kan zehirlenmesi) riskini artırdığını vurgulayan Prof. Dr. Özkan, başlangıçta basit bir diş eti kanaması gibi görünen durumun tedavi edilmezse tüm vücudu etkileyerek geri dönüşü olmayan yıkımlara yol açabileceğini belirtti.

AML'nin hızlı ilerleyen ve ölüm oranı yüksek bir kanser türü olduğuna dikkat çeken Prof. Dr. Özkan, erken evrede teşhis edildiğinde kemoterapi ve kemik iliği nakli gibi yöntemlerle yaşam şansının artırılabileceğini ancak diş eti belirtilerinin gözden kaçırılması halinde tedavinin genellikle işe yaramaz hale geldiğini söyledi.
Basit bir diş eti kanaması hayat kurtarabilir!
Son olarak Prof. Dr. Birkan Taha Özkan, hayati önem taşıyan şu uyarılarda bulundu: "Biz diş hekimleri için bir hastanın diş eti muayenesi, sadece diş sağlığını değil, genel sağlığı da koruma mücadelesidir. Diş eti büyümesi sıradan bir diş eti iltihabı gibi görünse bile, aslında vücuttaki kan hücrelerinin trajik bir değişiminin ilk habercisi olabilir.
Aklınızda tutun: ağız, vücudun aynasıdır. Diş eti kanaması, şiddetli diş eti büyümesi, kötü ağız kokusu ve diş sallanması gibi belirtiler yalnızca ağız içi bir sorun değil; çoğu zaman sistemik bir hastalığın ilk belirtisidir.
Bu yüzden dişlerinizi fırçalarken ya da aynada ağzınıza bakarken gördüğünüz her olağan dışı değişimi ciddiye alın veya detaylı düzenli diş hekimi muayenesi olun. Çünkü bazen küçük bir diş eti kanaması, hayatınızın kurtulmasına vesile olabilir."