Antalya'da yaptığı seyahat dönüşü öksürme ve hapşırma krizlerine tutulup grip olduğunu düşünen yat kaptanı hastaneye başvurdu, yapılan kontrolde akciğer ve kalp arasında kist olduğu tespit edildi. Ameliyata alınan kaptan, Video Yardımlı Torakoskopik Cerrahi (VATS) ile 10 dakikalık operasyon sonucu sağlığına kavuştu.

Yat kaptanlığı yapan 45 yaşındaki Ömer Can, çıktığı uzun seyahat sonrası omuzunda ağrı hissetti, öksürük ve hapşırma krizleri geçirince grip olduğunu düşündü.

Can, nefes almakta güçlük yaşayınca Şanlıurfa'nın Akçakale ilçesinde hastane aciline başvurdu.

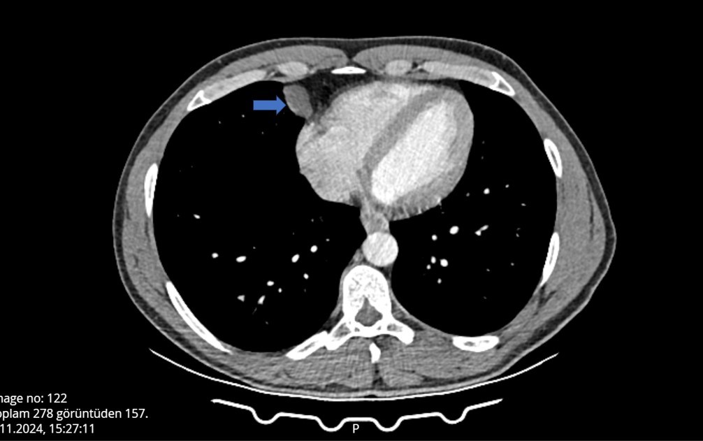
Burada tomografisi çekilen Can'ın, akciğer ile kalbinin arasında bir kist olabileceği belirtildi.

Can, çevresindekilerin tavsiyesi üzerine detaylı araştırma ve inceleme için, Antalya Eğitim ve Araştırma Hastanesine başvurdu. Gerekli tetkikleri yapılan Ömer Can'ın, belirtilen bölgesinde yaklaşık 2 santimlik bir kist olduğu tespit edildi ve hemen ameliyata alındı. Göğüs Cerrahi bölümünde Video Yardımlı Torakoskopik Cerrahi (VATS) yöntemiyle gerçekleşen ameliyat yaklaşık 10 dakika sürdü. Hastanede ilk kez tüpsüz olarak gerçekleştirilen ameliyat sonrası Ömer Can sağlığına kavuştu, 1 gün sonrası ise taburcu edildi.
Öksürürken, hapşırırken nefesim kesiliyordu

Süreci anlatan Ömer Can, şunları söyledi:
“Uzun bir seyahate çıktım. Seyahat dönüşü soğuk algınlığı gibi bir şey oldu. Omuzumdan bir ağrı başladı ve nefes alırken, öksürürken, hapşırırken nefesim kesiliyordu. Hastane aciline gittim, kist olduğunu söylediler ve burada Eğitim ve Araştırma Hastanesi'ni önerdiler. Kistin ciğerden kalbe sıçramak üzere olduğunu söylediler. Hemen ameliyata alındım ve 1 günde sağlığıma kavuştum. Ben komple göğüs kısmımın açılacağını sanıyordum ve açıkçası korkmuştum. Küçük bir noktadan girildi ve bu kadar hızlı taburcu olacağını düşünmüyordum. Hocalarımdan Allah razı olsun.”

Göğüs tüpü takmadan ameliyattan çıktık
Antalya Eğitim ve Araştırma Hastanesi Göğüs Cerrahi Kliniği Eğitim Sorumlusu Doç. Dr. Muharrem Özkaya, hastanın çekilen tomografisinde, akciğerin altında, kalbin yanında perikardiyal kisti bulunduğunu ve VATS yöntemiyle iki delikten girerek kisti aldıklarını anlattı. Normalde bu tarz ameliyatlarda göğüs tüpü kullanıldığını aktaran Özkaya, “Hastanın en büyük sıkıntısı bu tüpten dolayı. Şiddetli ağrıları olur ve taburculuğu uzar. Biz göğüs tüpü takmadan ameliyattan çıktık, operasyon 10 dakika sürdü ve bugün taburcu etmeyi planlıyoruz” dedi.
Bu bizim için kıymetliydi

Antalya Eğitim ve Araştırma Hastanesi Göğüs Cerrahi Kliniği Öğretim Üyesi Yrd. Doç. Dr. Nilay Çavuşoğlu Yalçın da, kist için planlanan ameliyatla hastanın sağlığına kavuştuğunu söyledi. Perikardiyal kiste yönelik VATS ameliyatlarının yaygın olduğunu, ancak hastanelerinde ilk kez tüpsüz şekilde ameliyat gerçekleştirildiğini belirten Yalçın, “Bu bizim için kıymetliydi. Hastamız uygun bir vakaydı ve sıkıntı yaşamadık” dedi.
