Sivas Cumhuriyet Üniversitesi Diş Hekimliği Fakültesi Restoratif Diş Tedavisi Ana Bilim Dalı Öğretim Üyesi Prof. Dr. İhsan Hubbezoğlu, yaşanan depremlerden ilham alarak geliştirdiği yenilikçi yöntemle, implant tedavisine ihtiyaç duymadan yüzlerce hastasını sağlıklı ve estetik dişlere kavuşturuyor.
Günümüzde diş kaybı yaşayan hastalar için sıklıkla tercih edilen implant tedavisi, bazı durumlarda çene yapısına uymayarak enfeksiyon ve kırılmalara yol açabiliyor. Bazı hastalar, vidalı implantlarını söktürmek zorunda kalabiliyor.

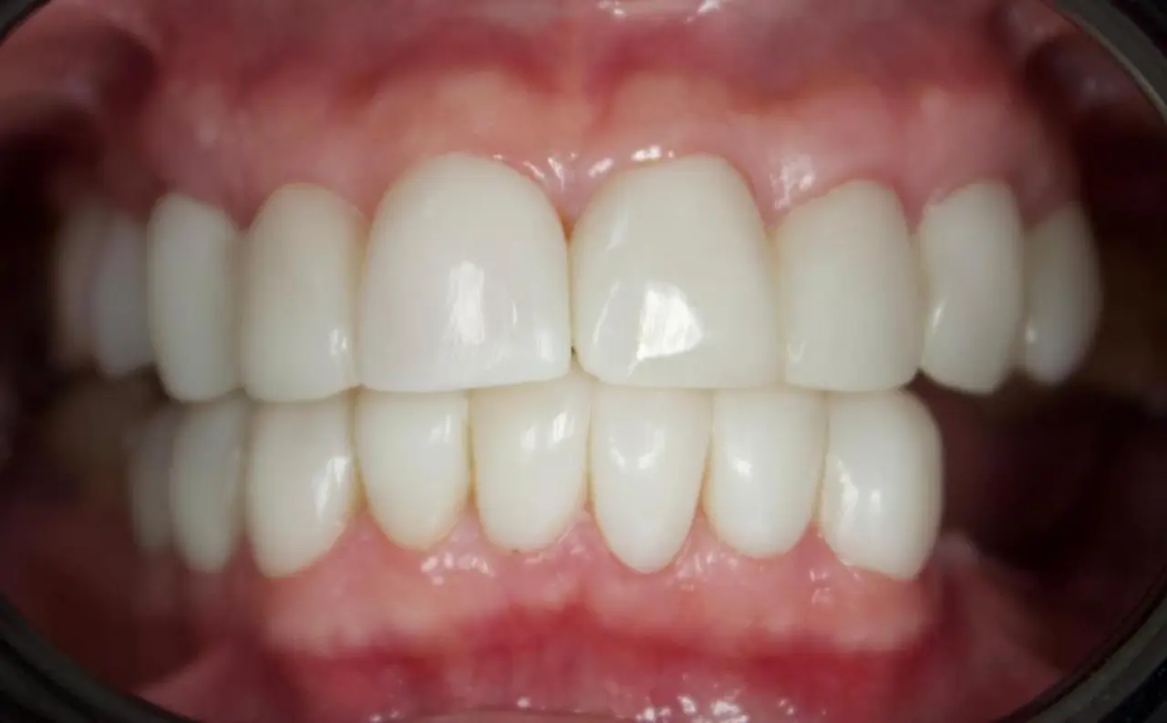
Prof. Dr. Hubbezoğlu, yaklaşık 2 yıllık araştırma sonucu, sağlam diş köklerini koruyarak uyguladığı Cam Fiber Post ve Direkt Kompozit Lamina yöntemi ile implantlara bağımlılığı minimuma indiriyor. Kahramanmaraş merkezli depremler sırasında fiber kullanılan binalardan ilham alan Hubbezoğlu, sorunlu dişleri fiber destekle güçlendiriyor ve üzerine estetik lamina uygulaması yaparak sadece 4 seansta tamamlıyor. Üstelik bu süreçte hastalara herhangi bir anestezi uygulanmıyor ve birkaç gün içinde normal beslenmeye dönmeleri sağlanıyor.

Almanya’da tedavi bulamayan Fatma Hizmetli Okumuş, Sivas’a hem tatil hem de diş kontrolü amacıyla geldiğini belirterek, “Sivas Cumhuriyet Üniversitesi’ne başvurdum. İmplant ve zirkonyum düşünüyordum ama Prof. Dr. Hubbezoğlu, lamina uygulaması ile tanıştırdı. Klinik bir vakaydım; aynaya bakamayacak durumdaydım. Sadece birkaç seansta dişlerim kompozit lamina ile yenilendi, çürüklerim kapandı, gülüşüm estetik hale geldi. Ağrı veya acı hissetmedim” dedi.
Prof. Dr. Hubbezoğlu, “Fakültede farklı bir yaklaşım uygulamak istedik. Son yıllardaki trend, doğal dişleri korumak. Dişleri kesmeden, minimum aşındırmalarla çalışıyoruz. Cam Fiber Post ile sadece kökü kalan dişleri bile kurtarabiliyoruz. Direkt kompozit laminalar Türkiye’de sınırlı olarak uygulanıyordu, biz bunu geliştirerek her gördüğüm 5 hastanın 4’üne yapmayı başardık” ifadelerini kullandı.
Yöntemin en büyük avantajlarından biri, tedavinin kısa sürede tamamlanabilmesi. Önce çürükler temizleniyor, dişler el sanatı ile şekillendiriliyor. Laboratuvar veya teknisyen gerekmeden, üst ve alt dişler 2’şer seansta tamamen yenileniyor.
Hataylı diş hekimi, depremden etkilenerek geliştirdiği yöntemi şöyle anlattı: “Binalar fiber ile güçlendirilmişti, biz de dişlerde bunu uyguladık. Yaklaşık 280 vaka yaptım, kırılan tek diş olmadı. Bin 800’den fazla hastada kompozit lamina uygulandı. Amacımız dişleri çekmeden, kesmeden ve implant kullanmadan kurtarmak. Yeter ki kök sağlıklı olsun; fiber post ile güçlendirip, hasta aynı gün yemek yiyebiliyor.”
Prof. Dr. Hubbezoğlu’nun yöntemi, doğal dişi korumaya odaklanarak hem estetik hem de fonksiyonel avantajlar sağlıyor. İmplantsız, ağrısız ve kısa sürede tamamlanan bu uygulama, diş tedavisinde çığır açacak nitelikte.





